
This is a placeholder text
Group text
by Elkoorr on 16 September 2013 - 22:09
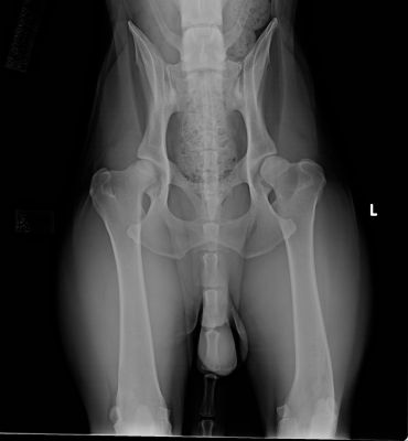
Here are some x-rays for you for evaluation. Those have been send to OFFA and I have the results at hand. So, in a way its a bit of a game 
Please state your rating (good, fair, mild, moderate) and which site (right, left, both) together with why you would give this rating.
This is a male, 2 years old, fully sedated.
.jpg)

Please state your rating (good, fair, mild, moderate) and which site (right, left, both) together with why you would give this rating.
This is a male, 2 years old, fully sedated.
.jpg)
by Nans gsd on 16 September 2013 - 23:09
Right side fair to good; left side would like to see a tighter fit of femur in the socket; mild HD. Overall due to left hip; mild HD. Nan On a really good day, maybe fair.
by Jenni78 on 16 September 2013 - 23:09
No knees?
Left knee isn't rotated like right is, obvious from the curvature on the left that isn't evident on the right, even though the knees aren't included. You can also see the knee cap is toward the center on the right side and way off on the left. I wouldn't send these in and I would expect OFA to return these and ask for a complete film. If they decided they didn't care that the xray is not correct, I'd guess unilateral mild.
A showline friend had a very similar xray go A3; one knee was rotated perfectly and one wasn't rotated much at all- it gives the appearance of one hip being significantly tighter than the other. Same dog went OFA unilteral mild due to subluxation with no arthritic changes present.
Left knee isn't rotated like right is, obvious from the curvature on the left that isn't evident on the right, even though the knees aren't included. You can also see the knee cap is toward the center on the right side and way off on the left. I wouldn't send these in and I would expect OFA to return these and ask for a complete film. If they decided they didn't care that the xray is not correct, I'd guess unilateral mild.A showline friend had a very similar xray go A3; one knee was rotated perfectly and one wasn't rotated much at all- it gives the appearance of one hip being significantly tighter than the other. Same dog went OFA unilteral mild due to subluxation with no arthritic changes present.
by Jenni78 on 16 September 2013 - 23:09
by Elkoorr on 16 September 2013 - 23:09
those are the only copies I got, maybe the original CD shows more? However, one can see the patella which is a good indicator.
by GSDNewbie on 17 September 2013 - 00:09
I agree will come back dysplastic with this xray, I would retake and also feel it is a huge if they would acept this
by SitasMom on 17 September 2013 - 01:09
fair, positioning could be better
by Blitzen on 17 September 2013 - 08:09
Best guess mild HD, left hip; maybe moderate because this dog is only 24 months and already showing a fair amount of changes in that hip. Remodeling (flattening of the head, widening of the joint, thickening of the neck). IMO another xray won't make any difference. Right side - fair to borderline but a moot point since OFA will always use the rating of the "worst" hip.
This dog has already been evaluated by OFA, hasn't it?
This dog has already been evaluated by OFA, hasn't it?
by Hundmutter on 17 September 2013 - 09:09
This is an experiment, for me, 'cos I always say I don't
know enough about it to properly evaluate hip pics ! But
since you already know the answer OFA gave you and
will share it with us, I'll have a go ! First thought was to
agree with what Jenni said about the positioning. It could
have affected the result so another should have been taken
& submitted ? Next reaction was to agree almost word for
word with Nan's post.
Any prizes for one of us getting it right ?
know enough about it to properly evaluate hip pics ! But
since you already know the answer OFA gave you and
will share it with us, I'll have a go ! First thought was to
agree with what Jenni said about the positioning. It could
have affected the result so another should have been taken
& submitted ? Next reaction was to agree almost word for
word with Nan's post.
Any prizes for one of us getting it right ?

by Jenni78 on 17 September 2013 - 09:09
Yeah, you can see the patella, partly, if you really look, but I'm not sure how closely they'll look. My only point was that there is a significant difference in rotational degrees if you gauge by the visible portions of the knees, and it is known that knee caps to the outside of the film will cause the hip to look less well-seated than it should, thus downgrading a rating. Also, it shows a different angle of the hip, one that is often not as "pretty" and round as the view when the knees are rotated appropriately.
I don't see enough remodeling to say a proper xray is a moot point. If it were my dog, I would never send in an xray with the knees missing, especially if they were positioned so poorly to begin with. I'd want the full picture. People bitch and moan about straight xrays all the time but seem to gloss over KNEES which is more important as far as seating them deeply. Hans' page is the best I've seen as far as showing a variety of positions and what it does to hip presentation.
I don't see enough remodeling to say a proper xray is a moot point. If it were my dog, I would never send in an xray with the knees missing, especially if they were positioned so poorly to begin with. I'd want the full picture. People bitch and moan about straight xrays all the time but seem to gloss over KNEES which is more important as far as seating them deeply. Hans' page is the best I've seen as far as showing a variety of positions and what it does to hip presentation.
Contact information Disclaimer Privacy Statement Copyright Information Terms of Service Cookie policy ↑ Back to top




